
ZeroHedge News
shared a link post in group #ZeroHedge

www.zerohedge.com
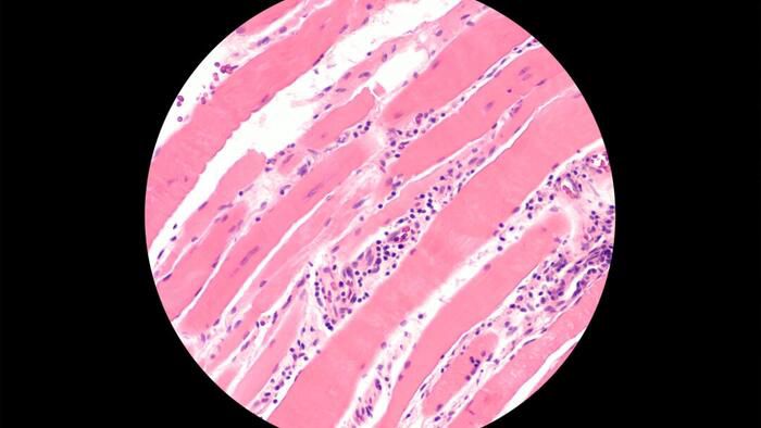
COVID-19 And Vax Contributed To Increase In Rare Autoimmune Disease In 2021: Study | ZeroHedge
ZeroHedge - On a long enough timeline, the survival rate for everyone drops to zero
