
ZeroHedge News
shared a link post in group #ZeroHedge

www.zerohedge.com
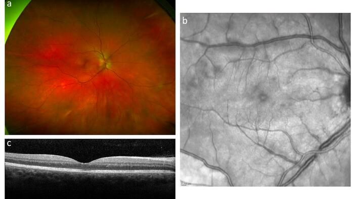
First Case Of White Dot Syndrome Emerged After COVID-19 Vaccine And Subsequent Infection, Study Shows | ZeroHedge
ZeroHedge - On a long enough timeline, the survival rate for everyone drops to zero
