
ZeroHedge News
shared a link post in group #ZeroHedge

www.zerohedge.com
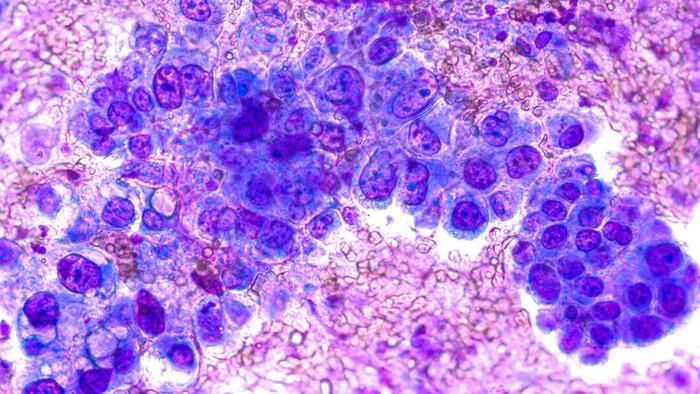
Sugar Stores In The Body May Fuel Common Lung Cancer Progression: Study | ZeroHedge
ZeroHedge - On a long enough timeline, the survival rate for everyone drops to zero

ZeroHedge

shared a link post in group #ZeroHedge

www.zerohedge.com
Sugar Stores In The Body May Fuel Common Lung Cancer Progression: Study | ZeroHedge
ZeroHedge - On a long enough timeline, the survival rate for everyone drops to zero
Comment here to discuss with all recipients or tap a user's profile image to discuss privately.
<div data-postid="rozegbv" [...] </div>